Wellness
¿Comiste carnitas? Revisa los daños que puede provocar la cisticercosis
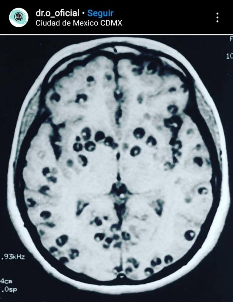
La cisticercosis es una enfermedad que se puede encontrar en la carne de puerco; conoce qué es y cómo prevenirlaCiudad de México.- La cisticercosis es una infección provocada por un parásito que se encuentra en alimentos contaminados o bien en heces fecales con la presencia de los huevos y el parásito taenia solium, a continuación sabrás un poco más sobre los métodos de contagio y cómo puedes prevenirlo.
Da clic aquí y descubre más información de Todo Para Ellas en nuestra página de Google News
Primero que nada es necesario repasar que la cisticercosis puede provocar convulsiones o síntomas muy parecidos a los de un tumor cerebral, disminución considerable en la vista o ceguera, y en ocasiones un ritmo cardíaco irregular o insuficiencia cardíaca.

El consumo de carne de cerdo y frutas contaminadas pueden ser uno de los principales medios de contagio, además de no lavarse bien las manos después de una deposición, por eso es importante prestar atención a la preparación de los alimentos, verificar que se encuentren en buen estado y siempre lavarse las manos antes de comer y después de ir al baño.

El tratamiento consta de medicamentos para eliminar los parásitos y también antiinflamatorios bastante poderosos como son los esteroides, esto es cómo se sabe para reducir la hinchazón, pero en ocasiones la infección parasitaria es tan grave que se necesita recurrir a la cirugía, por ello es que es mejor consumir comida bien preparada y lavarse bien las manos.
Fuente: MedlinePlus